Glossary of Orthodontic Terms
Anterior
Front.
Appliances
Any device, attached to the teeth or removable,
designed to move the teeth, change the position
of the jaw, or hold the teeth in their finished
positions after braces are removed.
Photos courtesy of Solutions by Design.
Arch
Upper or lower jaw.
Archwire
The metal wire that is attached to the brackets and used to move the teeth.
Photo courtesy of Solutions by Design.
Band
The metal ring that is cemented to a tooth for strength and anchorage.

Photo courtesy of Solutions by Design.
Braces
A word commonly used to describe a fixed
orthodontic appliance, usually comprised of
brackets, bands and wires.
Diagram of Braces
The diagram below illustrates and names
each part of a typical set of braces.

A. Ligature
The archwire is held to each bracket with a
ligature, which can be either a tiny elastic or
a twisted wire.
B. Archwire
The archwire is tied to all of the brackets and
creates force to move teeth into proper
alignment.
C. Brackets
Brackets are connected to the bands, or directly
bonded on the teeth, and hold the archwire in
place.
D. Metal Band
The band is the cemented ring of metal which
wraps around the tooth.
E. Bracket Hooks
The bracket or band extensions that are used for
the attachment of rubber bands.
Bracket
The small metal, ceramic, or plastic
attachment bonded to each tooth with a
tooth-colored adhesive. The bracket has a
slot that the archwire fits into.

Photo courtesy of Solutions by Design.
Brushing
Brushing the teeth is part of an
individual’s daily home dental care.
Patients with braces should follow the
orthodontist’s instruction on how often to
brush.
Bruxism
Grinding the teeth, usually during
sleeping. Bruxism can cause abnormal tooth
wear and may lead to pain in the jaw joints.
Buccal
The cheek side of the back teeth in both arches
or jaws.
Buccal Tube
A small metal part of the bracket welded
to the cheek side of the molar band. The
tube may hold an archwire, lip bumper, headgear
facebow or other appliances an orthodontist may
use to move the teeth.

Photo courtesy of Solutions by Design.
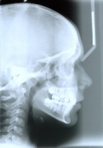
Cephalometric Radiograph
A lateral (side view) x-ray of the head.

A cephalometric radiograph.
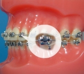
Power Chain
A stretchable series of elastic o-rings
connected together and placed around each
bracket to hold the archwire in place and move
the teeth.

Photo courtesy of Solutions by Design.
Class I
Malocclusion
A malocclusion with the proper molar
relationship and teeth that are crowded
together, spaced apart, an overbite, an openbite,
a posterior crossbite or an anterior crossbite.
Class II
Malocclusion
A malocclusion with the upper front teeth
protruding or due to the lower teeth and/or jaw
positioned back relative to the upper teeth
and/or jaw.

A Class II malocclusion.
Class III
Malocclusion
A malocclusion with the lower front teeth
protruding or due to the lower teeth and/or jaw
positioned ahead relative to the upper teeth
and/or jaw.

A Class III malocclusion.
Closed
Bite/Deep Bite
Also known as deep overbite, this occurs
when the upper front teeth overlap the bottom
front teeth an excessive amount.

Closed or deep bite.
Comprehensive Treatment
Complete orthodontic treatment performed to
correct a malocclusion.
Congenitally
Missing Teeth
A genetic occurrence in which the
expected number of permanent teeth do not
develop.
Crossbite
Upper posterior (back) teeth are in
crossbite if they erupt and function inside or
outside of the arch in the lower posterior
teeth. Lower anterior (front) teeth are I
crossbite if they erupt and function in front of
the upper anterior teeth. A crossbite can
be individual teeth or groups of teeth.

A posterior crossbite.
DDS or DMD
DDS (Doctor of Dental Surgery) and DMD
(Doctor of Dental Medicine) are equivalent
degrees, according to The American Dental
Association. All orthodontists educated in the
U.S. or Canada will have either a DDS or DMD
after their names. Orthodontists have an
additional two to three years of specialty
education in an accredited orthodontic residency
program after dental school to become
orthodontists.
Diagnostic
Records
The material and information that the
orthodontist needs to properly diagnose and plan
a patient’s treatment. Diagnostic records
may include a thorough patient health history, a
visual examination of the teeth and supporting
structures, plaster models of the teeth, a wax
bite registration, extraoral and intraoral
photographs, a panoramic and a cephalometric
radiograph.
Ectopic
Eruption
Term used to describe a tooth or teeth that
erupt in an abnormal position.
Eruption
The process by which teeth enter into the mouth.
Extraction
The removal of a tooth.
Elastics
Rubber bands. During certain stages of
treatment, small elastics or rubber bands are
worn to provide individual tooth movement or jaw
alignment.

Photo courtesy of Solutions by Design.
Facebow
A wire appliance used with a nightbrace, or
headgear. Primarily used to move the upper
first molars back, creating room for crowded or
protrusive front teeth. The facebow has an
internal wire bow and an external wire bow.
The internal bow attaches to the buccal tube on
the upper molar bands inside the mouth and the
outer bow attaches to the breakaway safety strap
of the nightbrace.
Fiberotomy
A surgical procedure designed to sever fibers of
attachment around the tooth, usually performed
to reduce the potential for relapse or
post-orthodontic treatment tooth movement.
Fixed
Appliances
An orthodontic appliance that is bonded
or cemented to the teeth and cannot be or should
not be removed by the patient.
Flossing
An important part of daily home dental care.
Flossing removes plaque and food debris from
between the teeth, brackets and wires.
Flossing keeps teeth and gums clean and healthy
during orthodontic treatment.
Frenectomy
The surgical removal or repositioning of the
frenum, the lip and tongue attachment located
between the upper and lower front teeth. A
large frenum attachment can cause spacing
between top front teeth or cause the tongue to
be tied.
Functional
Appliances
Appliances that utilize the muscle action
produced when speaking, eating and swallowing to
produce force to move the teeth and align the
jaws. They are also known as
orthopedic appliances with names such as
orthopedic corrector, activator, bionator,
Frankel, Herbst or twin block appliances.
Gingiva
Soft tissue around the teeth, also known as the
gums.
Gummy Smile
Showing an excessive amount of gingival (gum)
tissue above the front teeth when smiling.
Headgear
An appliance worn outside of the mouth to
provide traction for growth modification and
tooth movement.
Herbst
Appliance
This appliance is used to move the lower
jaw forward. It can be fixed or removable.
When it is fixed, it is cemented to teeth in one
or both arches using stainless steel crowns.
An expansion screw may be used simultaneously to
widen the upper jaw.

Photo courtesy of Solutions by Design.
Impaction
A tooth that does not erupt into the mouth or
only erupts partially is considered impacted.
Interceptive
Treatment
Orthodontic treatment performed to intercept a
developing problem. Usually performed on
younger patients that have a mixture of primary
(baby) teeth and permanent teeth.
Interproximal Reduction
Removal of a small amount of enamel from between
the teeth to reduce their width. Also
known as reproximation, slenderizing, stripping,
enamel reduction or selective reduction.
(See brochure at
Interproximal-Reduction.pdf.)
Labial
The surface of the teeth in both arches that
faces the lips.
Ligating
Modules
A small elastic o-ring, shaped like a donut,
used to hold the archwire in the bracket.

Photo courtesy of Solutions by Design.
Lingual
The tongue side of the teeth in both arches.
Lip Bumper
A wire appliance used to move the lower molars
back and the lower front teeth forward, creating
room for crowded front teeth. The lip
bumper is an internal wire bow that attaches to
the buccal tubes on the cheek side of the lower
molar bands inside the mouth. The front
portion of the bow has an acrylic pad or bumper
that rests against the inside of the lower lip.
The lower lip muscles apply pressure to the
bumper creating a force that moves the molars
back.

Photo courtesy of Solutions by Design.
Lip Incompetence
The inability to close the lips together at
rest, usually due to protrusive front teeth or
excessively long faces.
Malocclusion
The term used in orthodontics to describe teeth
that do not fit together properly. From
Latin, the term means “bad bite.”
Mandible
Lower jaw.
Maxilla
Upper jaw.
Mixed
Dentition
The dental developmental stage in
children (approximately ages 6-12) when they
have a mix of primary (baby) and permanent
teeth.
Mouthguard
A removable device used to protect the teeth and
mouth from injury caused by sporting activities.
The use of a mouthguard is especially important
for orthodontic patients.

Photo courtesy of Solutions by Design.
Nightguard
A removable appliance worn at night to help an
individual minimize the damage or wear while
clenching or grinding teeth during sleep.
Open Bite
A malocclusion in which teeth do not make
contact with each other. With an
anterior open bite, the front teeth do not touch
when the back teeth are closed together.
With a posterior open bite, the back teeth do
not touch when the front teeth are closed
together.

An example of an anterior open bite.
Orthodontics
The specialty area of dentistry concerned with
the diagnosis, supervision, guidance and
correction of malocclusions. The formal
name of the specialty is orthodontics and
dentofacial orthopedics.
Orthodontist
A specialist in the diagnosis, prevention
and treatment of dental and facial
irregularities. Orthodontists are required
to complete college requirements, graduate from
an accredited dental school and successfully
complete a minimum of two academic years of
full-time, university-based study at an
accredited orthodontic residency program.
Only those who have completed this education may
call themselves “orthodontists.”
Orthodontists limit their practice to
orthodontic treatment only unless they have
training in another dental specialty. Only
residency-certified orthodontists may be members
of the American Association of Orthodontists.
Orthopedic
Appliance
A removable functional appliance designed to
guide the growth of the jaws and face.
Panoramic
Radiograph
An x-ray that shows all the teeth and
both jaws on one film.

A panoramic radiograph (x-ray).
Palatal Expander
A fixed or removable device used to make the
upper jaw wider.

An example of a palatal expander.
Periodontal
Refers to the hard and soft tissue, or
supporting structures, around the teeth.
Plaque
Plaque is a colorless, sticky film of bacteria,
food particles and saliva that constantly forms
in the mouth. Plaque combines with sugars
to form an acid that endangers teeth and gums.
Plaque causes tooth decay and gum disease.
Posterior
Back.
Preventive
Treatment
Orthodontic treatment to prevent or reduce the
severity of a developing malocclusion (bad
bite).
Removable
Appliance
An orthodontic appliance that can be removed
from the mouth by the patient. Removable
appliances are used to move teeth, align jaws
and to keep teeth in their new positions when
the braces are removed (retainers).
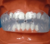
Retainer
A fixed or removable appliance worn after the
braces are removed. A removable retainer
attaches to your upper and/or lower teeth and
holds them in their finished positions.
This patient is wearing a removable retainer.
Rubber Bands
During certain stages of treatment, small
elastics or rubber bands are worn to provide
individual tooth movement or jaw alignment.

Photo courtesy of Solutions by Design.
Safety Strap
The safety strap prevents the facebow of
the headgear from coming loose and causing
injury.

Photo courtesy of Solutions by Design.
Separators
An elastic o-ring or small wire loop placed
between the teeth to create space for placement
of bands. Separators are usually placed
between the teeth a week before bands are
scheduled to be cemented to the teeth.

Photo courtesy of Solutions by Design.
Serial
Extraction
Selective or guided removal of certain primary
(baby) teeth and/or permanent teeth over a
period of time to create room for permanent
teeth.
Space
Maintainer
A fixed appliance used to hold space for an
unerupted permanent tooth after a primary (baby)
tooth has been lost prematurely, due to accident
or decay.
Supernumerary Teeth
A genetic occurrence in which there are more
teeth than the usual number. These teeth
can be malformed or erupt in abnormally.
Tongue Crib
A fixed appliance used to help a patient stop
habits or undesirable tongue forces exerted on
the teeth and bone that supports the teeth.
Tongue
Thrust
An individual’s tongue pushes against the teeth
when swallowing. Forces generated by the
tongue can move the teeth and bone and may lead
to an anterior or posterior open bite.
Wax
Wax is placed on the brackets or archwires to
prevent them from irritating the lips or
cheeks.

Photo courtesy of Solutions by Design.
Wires
Also known as archwires, they are held in the
brackets using small elastic o-rings or
stainless steel wire ligatures. Wires are
used to move the teeth.

Photo courtesy of Solutions by Design.
Back to "FAQs - Main Page"



























