FAQs - "Controversial" Orthodontic Questions
Some topics in orthodontics are fairly well agreed upon by most researchers and practitioners. However, some issues are less universally agreed upon. Dr. Smart remarks that one of the most difficult aspects of leaving a career as an engineer to become an orthodontist was coming to terms with the fact that, in engineering, there is usually one right answer. In contrast, there may be several good ways to treat some orthodontic problems, and which of those ways is "best" may not be universally agreed upon. The purpose of this section is to outline our thoughts on a few of these issues, as well as the basis for that opinion.
Do "wisdom teeth" cause crowding?
It is a very common occurrence in the orthodontic office when a patient or parent comes in to say that, “My wisdom teeth made my lower front teeth crowd up.” This theory is made even more attractive by an image on a panoramic x-ray which sometimes shows the patient’s third molars (“wisdom teeth”) tilted forward, apparently, “pushing” on the rest of the lower teeth (see photo below). Even though such a theory seems like a common-sense reason for crowding of the lower front teeth, research that has been done through the years does not consistently back up such a belief.
![]() |
| Panoramic x-ray showing impacted wisdom teeth |
An article distributed by the American Association of Orthodontists (AAO) several years ago seems to go against this theory (Orthodontic Dialogue Vol. 11, Number 1, Spring, 1999).
"Multiple studies have found no clinically significant reduction in the incidence of incisor crowding following third molar extractions. In fact, patients who are congenitally missing third molars are still affected by late crowding. Although there are valid reasons for extracting the third molars, preventing lower incisor crowding does not appear to be one of them."
Click here to access article
In summary, our opinion is that when there is not adequate room for the full eruption of the third molars, it is in the patient’s overall best interest to refer the patient to an oral surgeon as directed by their general dentist or as the patient chooses. However, we feel that in order to make a truly informed decision about how to treat these teeth, the patient / parent needs to have the most accurate information available on which to base such a decision.
Back to TopBack to "FAQs - Main Page"
What about "early treatment"?
This issue of when is the best time to begin orthodontic treatment has been debated in orthodontics for nearly 100 years. It would be foolish to attempt to consolidate all the years of research and all the varying opinions in a single webpage. However, the question of when is the best time to begin orthodontic treatment is, by far, the most frequent "frequently asked question" we get in our practice. What follows is an attempt to briefly outline the evidence-basis for the philosophy we use in our office.
Most patients lose their last deciduous (“baby”) teeth by about age 10-13. If comprehensive orthodontic treatment is to include these permanent teeth, it cannot be completed until all these teeth have erupted and positioned appropriately. The concept of “early” orthodontic treatment usually involves some limited orthodontic treatment in the mixed dentition (when the patient has both baby teeth and permanent teeth), followed by a second course of comprehensive treatment later when the rest of the permanent teeth are erupted.
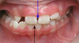
In general, there are a few specific types of cases we do routinely treat with “early” orthodontic treatment. The classic example of this would be to expand a patient’s upper jaw when their upper back teeth are positioned “inside” of their lower back teeth on one or both sides. This is a situation known as a posterior crossbite (see photo below). In this example, when the patient bites down, their lower jaw shifts to their right side. Notice the upper midline (blue arrow) does not line up with the lower midline (black arrow). Left untreated, the patient's lower jaw would likely grow asymmetrically (unevenly) to the right.
| Patient's lower back teeth are positioned outside of upper teeth ("Posterior Crossbite") | ![]() |
Patient's upper back teeth are positioned outside of lower teeth (normal) | |
| Patient's Right Side |
Patient's Left Side |
||
Our general philosophy regarding mildly or moderately “crooked” or crowded teeth that meet together well is to consider postponing comprehensive treatment until the patient is closer to being ready for “full treatment”. This philosophy is based on many factors including the efficiency and total time and cost of treating the patient once verses treating them twice. Ultimately, each patient is unique and so is each treatment plan.
There are a huge number of research articles that address this issue. Some of these articles support one-phase treatment and others support two-phase or “early” treatment. One article that makes a strong case for one-phase treatment is from the Journal of the American Dental Association (Evidence-Based Orthodontics for the 21st Century. " JADA 135 (2004): 162-167. <http://jada.ada.org/cgi/content/full/135/2/162>).
The research cited in this article looked for differences between the final
outcome of patient's who were treated twice (early treatment and later
comprehensive treatment), and those who were treated only once. The research
found no differences in quality of treatment outcome, need for extraction of
permanent teeth or need for orthognathic (jaw) surgery. In general,
the costs (time and financial) of treating someone twice are almost always
greater than treating once.
Click here to access excerpts from this article
Finally, and perhaps most importantly, we recognize that a young patient is a human being. There may be factors in play that make early orthodontic treatment the right decision for that particular patient and family. For example, if a child is being teased at school about their teeth, some parents may make the decision to have the child's front teeth straightened even if a second course of (comprehensive) treatment will be required later. We completely support and routinely provide early treatment in such cases. However, what is paramount is these situations is that parents have complete and accurate information about the costs and benefits of such treatment. Only then are they able to make a truly informed decision about what is best for their child and family.
Back to TopBack to "FAQs - Main Page"





























